×
Close
Sign Up
Login
Home
Library S
Library D
Events & Partner
WeMed
MDLA Events Platform
Events
Media Partners
Educational Partner
User Tools
FAQ/USER GUIDE
Language
English
中文/ Chinese
French
Português
Español
Arabic
Russian
Contact Us
×
Close
mdla_1
mdla_2
mdla_3
mdla_4
mdla_5
mdla_6
Categories
Radiology, Nuclear Medicine & Imaging
12411
Global Medical University
5186
Allergy
1797
Anatomy & Morphology
1557
Andrology
379
Anesthesia & Intensive Care
1283
Anesthesiology
5482
Audiology & Speech-Language Pathology
347
Behavioral Sciences
100
Biochemical Research Methods
7161
Biochemistry & Molecular Biology
30007
Biodiversity Conservation
325
Biology
8453
Biophysics
8235
Biotechnology & Applied Microbiology
8619
Cardiac & Cardiovascular Systems
31108
Cardiovascular & Respiratory Systems
1386
Cell & Tissue Engineering
698
Cell Biology
11207
Chemistry, Analytical
4295
Chemistry, Applied
10946
Chemistry, Medicinal
8741
Chemistry, Multidisciplinary
18538
Clinical Immunology & Infectious Disease
454
Clinical Medicine
8961
Clinical Neurology
16635
Clinical Psychology & Psychiatry
1312
Critical Care Medicine
3207
Dentistry, Oral Surgery & Medicine
13521
Dermatology
7470
Developmental Biology
6919
Ecology
645
Education, Scientific Disciplines
2078
Emergency Medicine
4092
Endocrinology, Metabolism & Nutrition
24509
Engineering, Biomedical
3776
Entomology
450
Environmental Medicine & Public Health
4726
Evolutionary Biology
268
Gastroenterology & Hepatology
12230
General & Internal Medicine
6967
Genetics & Heredity
15105
Geriatrics & Gerontology
5137
Gerontology
370
Health Care Sciences & Services
16195
Health Policy & Services
651
Hematology
5625
Immunology
24753
Infectious Diseases
13997
Integrative & Complementary Medicine
2935
Medical Ethics
1224
Medical Informatics
2273
Medical Laboratory Technology
419
Medicine, General & Internal
44315
Medicine, Legal
532
Medicine, Research & Experimental
17764
Microbiology
23308
Mycology
0
Nanoscience & Nanotechnology
5444
Neuroimaging
1411
Neurology
4551
Neurosciences
39762
Nursing
9717
Nutrition & Dietetics
7868
Obstetrics & Gynecology
8296
Oncology
52304
Ophthalmology
9732
Optics
4272
Orthopedics
11788
Orthopedics, Rehabilitation & Sports Medicine
1818
Otolaryngology
1592
Otorhinolaryngology
4868
Parasitology
1125
Pathology
5114
Pediatrics
21656
Peripheral Vascular Disease
4839
Pharmacology & Pharmacy
35334
Pharmacology/Toxicology
12134
Physiology
8907
Polymer Science
533
Primary Health Care
871
Psychiatry
19109
Psychology
5220
Psychology, Applied
112
Psychology, Biological
389
Psychology, Clinical
812
Psychology, Developmental
244
Psychology, Educational
169
Psychology, Experimental
166
Psychology, Mathematical
0
Psychology, Multidisciplinary
1688
Psychology, Psychoanalysis
30
Psychology, Social
119
Public Health & Health Care Science
2248
Public, Environmental & Occupational Health
27119
Quantum Science & Technology
0
Radiology, Nuclear Medicine & Medical Imaging
8122
Rehabilitation
3059
Remote Sensing
0
Reproductive Biology
2866
Reproductive Medicine
1201
Research/Laboratory Medicine & Medical Technology
3975
Respiratory System
7431
Rheumatology
6043
Social Sciences, Biomedical
1203
Substance Abuse
2759
Surgery
33813
Toxicology
4444
Transplantation
948
Tropical Medicine
300
Urology & Nephrology
13055
Veterinary Sciences
35
Virology
2505
Zoology
0
Channels
EJNMMI RESEARCH
267
ABDOMINAL RADIOLOGY
72
CANCER IMAGING
232
CLINICAL NUCLEAR MEDICINE
582
EJNMMI PHYSICS
207
EUROPEAN JOURNAL OF NUCLEAR MEDICINE AND MOLECULAR IMAGING
963
EUROPEAN RADIOLOGY
1472
EUROPEAN RESPIRATORY JOURNAL
1143
JOURNAL OF CARDIOVASCULAR MAGNETIC RESONANCE
7
JOURNAL OF NUCLEAR CARDIOLOGY
638
MEDICAL IMAGE ANALYSIS
797
MOLECULAR IMAGING AND BIOLOGY
343
RADIOTHERAPY AND ONCOLOGY
0
SEMINARS IN NUCLEAR MEDICINE
221
ULTRASCHALL IN DER MEDIZIN
339
ULTRASOUND IN OBSTETRICS & GYNECOLOGY
289
ABDOMINAL RADIOLOGY
92
APPLIED RADIATION AND ISOTOPES
0
BRITISH JOURNAL OF RADIOLOGY
602
CANADIAN ASSOCIATION OF RADIOLOGISTS JOURNAL-JOURNAL DE L ASSOCIATION CANADIENNE DES RADIOLOGISTES
89
DENTOMAXILLOFACIAL RADIOLOGY
113
DIAGNOSTIC AND INTERVENTIONAL IMAGING
278
JOURNAL OF APPLIED CLINICAL MEDICAL PHYSICS
204
JOURNAL OF CLINICAL ULTRASOUND
125
JOURNAL OF COMPUTER ASSISTED TOMOGRAPHY
84
JOURNAL OF MEDICAL IMAGING AND RADIATION ONCOLOGY
128
JOURNAL OF THE BELGIAN SOCIETY OF RADIOLOGY
206
PHYSICA MEDICA-EUROPEAN JOURNAL OF MEDICAL PHYSICS
0
MAGNETIC RESONANCE IMAGING
493
MAGNETIC RESONANCE IMAGING CLINICS OF NORTH AMERICA
71
MEDICAL DOSIMETRY
26
SA JOURNAL OF RADIOLOGY
125
JAPANESE JOURNAL OF RADIOLOGY
407
JOURNAL OF DIGITAL IMAGING
483
JOURNAL OF MEDICAL ULTRASONICS
332
MAGNETIC RESONANCE MATERIALS IN PHYSICS BIOLOGY AND MEDICINE
275
PEDIATRIC RADIOLOGY
706
SCI Abstract
search
ALL
RECOMMENDED
+
Can non-tumorous liver tissue serve as a reliable reference measure for [18F]FDG-PET-CT after unilobar 90Y glass radioembolization in patients with colorectal liver metastases?
Effect of radiation on [18F]FDG-uptake in non-tumorous liver tissue after radioembolization is sparsely investigated, desp...
Ejnmmi Research
comment
0
thumb_up
0
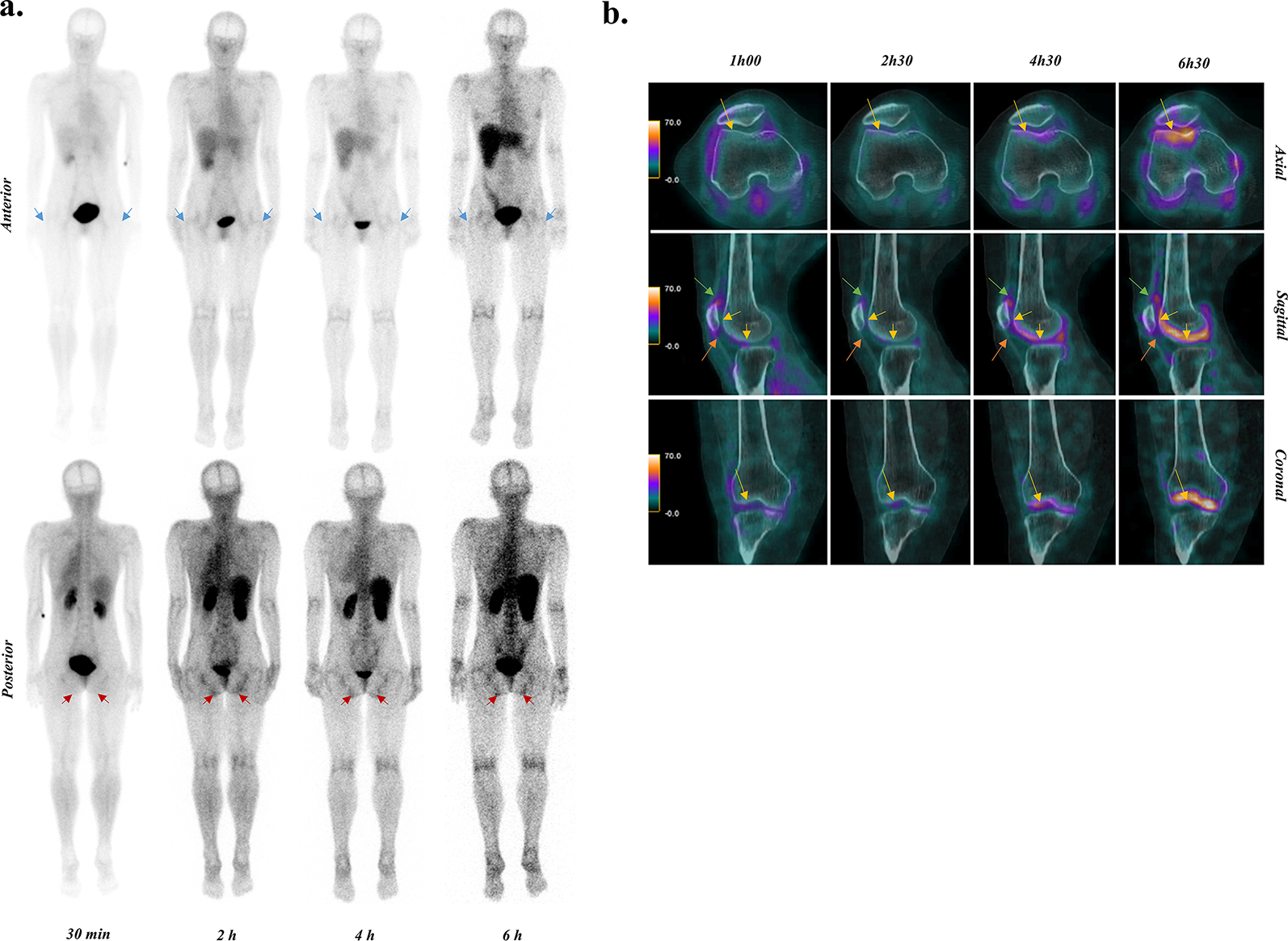
[99mTc]Tc-NTP 15 − 5, a new proteoglycan tracer for functional imaging of joint cartilage: phase I (CARSPECT)
[99mTc]Tc-NTP 15 − 5 showed affinity for joint cartilage proteoglycans on preclinical studies but has no...
Ejnmmi Research
comment
0
thumb_up
0
Experience of [177Lu]Lu-PSMA-617-administration using totally implantable venous access port: simulated experiments and clinical SPECT analyses
1) Phantom study of [177Lu]Lu-PSMA-617 administration ...
Ejnmmi Research
comment
0
thumb_up
0
Quantitative evaluation of thyroid bed accumulation in I-131 radiotherapy: a comparison of laryngeal edema and non-edematous cases
At our institution, approximately 70 patients are treated with I-131 therapy at a standard dose of 3.70 GBq each year, and...
Ejnmmi Research
comment
0
thumb_up
0
68Ga-Pentixafor PET/CT for the assessment of therapeutic outcomes following superselective adrenal arterial embolization in patients with primary aldosteronism
Superselective adrenal artery embolization (SAAE) represents a novel therapeutic strategy for managing primary aldosteroni...
Ejnmmi Research
comment
0
thumb_up
0
68Ga-NOTA-RM26 PET/CT in the evaluation of glioma: a pilot prospective study
Gliomas are the most common malignant primary tumors of the central nervous system. There is an urgent need for new conven...
Ejnmmi Research
comment
0
thumb_up
0
Value of multi-parameter 123I-MIBG scintigraphy in the differential diagnosis of Parkinson’s disease
123I-MIBG scintigraphy plays a significant role in diagnosing Parkinson's disease (PD), with most studies primarily ta...
Ejnmmi Research
comment
0
thumb_up
0
Venous blood sampling for less invasive in vivo quantification of synaptic density with constant infusion of [18F]SynVesT-1 and PET
Bajjalieh SM, Frantz G, Weimann JM, McConnell SK, Scheller R. Differential expression of synaptic vesicle protein 2 (SV2) ...
Ejnmmi Research
comment
0
thumb_up
0
Quantification in respiratory-gated PET acquisition: can data-driven methods replace device-based systems?—a comparative and retrospective study
Device-based respiratory gating improves diagnostic and quantification accuracy in positron emission tomography (PET), but...
Ejnmmi Research
comment
0
thumb_up
0
Role of [18F]FAPI-04 in staging and therapeutic management of intrahepatic cholangiocarcinoma: prospective comparison with [18F]FDG PET/CT
Fluorine-18 fluorodeoxyglucose ([18F]FDG) positron emission tomography/computed tomography (PET/CT) has some limitations i...
Ejnmmi Research
comment
0
thumb_up
0
Prognostic evaluation in recurrent glioma through 11C-Choline PET/CT imaging
Glioma, a primary malignant tumor originating from glial cells, represents approximately 81% of intracranial malignant tum...
Ejnmmi Research
comment
0
thumb_up
0
Brain perfusion SPECT in the presurgical evaluation of epilepsy: is additional ictal SPECT required in case of high-confidence lateralization of the seizure onset zone by interictal SPECT and vice versa?
Ictal brain perfusion SPECT provides higher sensitivity for the identification of the epileptic seizure onset zone (SOZ) t...
Ejnmmi Research
comment
0
thumb_up
0
Potential application of [18F]AlF-PSMA-11 PET/CT in radioiodine refractory thyroid carcinoma
Patients diagnosed with radioiodine refractory (RAI-R) thyroid carcinoma (TC) have a significantly worse prognosis than pa...
Ejnmmi Research
comment
0
thumb_up
0
Quantitation of mitral regurgitation using positron emission tomography
Cardiac positron emission tomography (PET) offers non-invasive assessment of perfusion and left ventricular (LV) function ...
Ejnmmi Research
comment
0
thumb_up
0
Distinguishing thymic cysts from low-risk thymomas via [18F]FDG PET/CT
Thymic cysts are a rare benign disease that needs to be distinguished from low-risk thymoma. [18F]fluorodeoxyglucose (FDG)...
Ejnmmi Research
comment
0
thumb_up
0
In vivo assessment of safety, biodistribution, and radiation dosimetry of the [18F]Me4FDG PET-radiotracer in adults
Approaches targeting the sodium-glucose cotransporter (SGLT) could represent a promising future therapeutic strategy for n...
Ejnmmi Research
comment
0
thumb_up
0
Effect of radiation therapy on lymph node fluorescence in head and neck squamous cell carcinoma after intravenous injection of indocyanine green: a prospective evaluation
Indocyanine green (ICG)-guided surgery has proven effective in the identification of neoplastic tissues. The effect of rad...
Ejnmmi Research
comment
0
thumb_up
0
Radiation dosimetry of para-chloro-2-[18F]fluoroethyl-etomidate: a PET tracer for adrenocortical imaging
[11C]metomidate, a methyl ester analogue of etomidate, is used for positron emission tomography of adrenocortical cancer, ...
Ejnmmi Research
comment
0
thumb_up
0
PSMA imaging as a non-invasive tool to monitor inducible gene expression in vivo
Das A, Zhou X, Metz SW, Vink MA, Berkhout B. Selecting the optimal Tet-on system for doxycycline-inducible gene expression...
Ejnmmi Research
comment
0
thumb_up
0
[68 Ga]Ga-FAPI-04 PET/CT may be a predictor for early treatment response in rheumatoid arthritis
The identification of biomarkers predicting the treatment response of rheumatoid arthritis (RA) is important. [68 ...
Ejnmmi Research
comment
0
thumb_up
0
ImmunoPET provides a novel way to visualize the CD103+ tissue-resident memory T cell to predict the response of immune checkpoint inhibitors
Immune checkpoint inhibitors (ICIs) have made significant progress in oncotherapy improving survival of patients. However,...
Ejnmmi Research
comment
0
thumb_up
0
Effects of isoflurane anaesthesia depth and duration on renal function measured with [99mTc]Tc-mercaptoacetyltriglycine SPECT in mice
The influence of anaesthetic depth and the potential influence of different anaesthetic beds and thus different handling p...
Ejnmmi Research
comment
0
thumb_up
0
Comparison of tracer kinetic models for 68Ga-PSMA-11 PET in intermediate-risk primary prostate cancer patients
68Ga-PSMA-11 positron emission tomography enables the detection of primary, recurrent, and metastatic prostate cancer. Reg...
Ejnmmi Research
comment
0
thumb_up
0
18F-FDG PET/CT-based deep learning radiomics predicts 5-years disease-free survival after failure to achieve pathologic complete response to neoadjuvant chemotherapy in breast cancer
This study aimed to assess whether a combined model incorporating radiomic and depth features extracted from PET/CT can pr...
Ejnmmi Research
comment
0
thumb_up
0
Single time point quantitation of cerebral glucose metabolism by FDG-PET without arterial sampling
Until recently, quantitation of the net influx of 2-[18F]fluorodeoxyglucose (FDG) to brain (Ki) and the cerebrometabolic r...
Ejnmmi Research
comment
0
thumb_up
0
[18F]FDG PET-MR characterization of aortitis in the IL1rn−/− mouse model of giant-cell arteritis
Metabolic imaging is routinely used to demonstrate aortitis in patients with giant-cell arteritis. We aimed to investigate...
Ejnmmi Research
comment
0
thumb_up
0
Development of [89Zr]Zr-hCD103.Fab01A and [68Ga]Ga-hCD103.Fab01A for PET imaging to noninvasively assess cancer reactive T cell infiltration: Fab-based CD103 immunoPET
CD103 is an integrin specifically expressed on the surface of cancer-reactive T cells. The number of CD103+ T cells signif...
Ejnmmi Research
comment
0
thumb_up
0
Biological efficacy of simulated radiolabeled Lipiodol® ultra-fluid and microspheres for various beta emitters: study based on VX2 tumors
Radioembolization is one therapeutic option for the treatment of locally early-stage hepatocellular carcinoma. The aim of ...
Ejnmmi Research
comment
0
thumb_up
0
Assessment of hypoxia and oxidative-related changes in a lung-derived brain metastasis model by [64Cu][Cu(ATSM)] PET and proteomic studies
Brain metastases (BM) are the most frequent malignant brain tumors. The aim of this study was to characterize the tumor mi...
Ejnmmi Research
comment
0
thumb_up
0
Adenosine-induced splenic switch-off on [15O]H2O PET perfusion for the assessment of vascular vasodilatation
Splenic switch-off (SSO) is a marker of adequate adenosine-induced vasodilatation on cardiac magnetic resonance perfusion ...
Ejnmmi Research
comment
0
thumb_up
0
Load More
Modal title
×
Modal title
×
Share
Login
Global News and Health Forum
Join Now!
Member Login
Remember me
Forgot password?
Or using
Linkedin